고관절은 엉덩이 관으로도 알려져 있으며, 인체에서 가장 큰 관절입니다. 그러므로 고관절에 문제가 생기면 종종 무릎 관절 문제보다 더 심각한 결과와 증상을 초래하는 경우가 많습니다. 무릎에 통증이 있는 경우 목발이나 다른 보조 기구를 통해 이동이 가능하지만, 고관절 장애는 종종 사람을 완전히 움직이지 못하게 할 수 있습니다.
고관절은 골반과 대퇴골을 연결하여 척추와 체중을 지탱하고 하체를 지지하는 역할을 수행하며, 지속적인 압력을 받는 취약한 부위입니다. 걸을 때는 체중의 약 4배, 달리기를 할 때는 약 5배, 계단을 오를 때는 최대 8배의 하중이 고관절에 가해져 통증이나 질환이 발생하기 쉬운 부위입니다.
1. 고관절 통증 원인
고관절 통증 원인 1. 이상근 증후군
이상근 증후군은 엉덩이 근처에 위치한 이상근이 좌골 신경을 압박해 엉덩이에서 종아리까지 통증을 유발하는 질환입니다. 골반이나 고관절의 외상, 혹은 이상근의 비정상적인 두꺼워짐으로 인해 좌골 신경이 압박될 때 발생합니다.
다리를 꼬거나 한쪽 다리만 의자에 올려놓는 등의 자세로 인해 이상근에 압박이 가해지는 부적절한 자세도 이상근 증후군의 원인이 될 수 있습니다. 통증은 주로 엉덩이 부위에서 시작되며 활동 중에 더 심해질 수 있습니다. 좌골 신경이 압박되어 다리에도 통증이 생길 수 있습니다.






허리, 사타구니, 항문, 허벅지 뒤쪽, 종아리, 발에 통증이 있거나 배변 시 직장 부위에서 특이한 감각이 느껴진다면 이상근 증후군을 의심해봐야 합니다.
고관절 통증 원인 2. 강직성 척추염
류마티스 질환으로 인한 고관절 통증은 흔히 강직성 척추염이라는 질환 때문에 발생합니다. 이 질환은 일반적으로 고관절의 통증으로 시작해 무릎, 발목, 허리 등 다른 부위로 퍼져 나가는 경향이 있습니다.
이러한 상황에서는 통증이 있는 부위 주변의 피부가 붉게 변색될 수 있습니다. 강직성 척추염이 의심된다면 빠른 진단을 통해 약물 또는 주사 치료를 받는 것이 중요합니다.
류마티스 질환은 초기 단계에서 빠르게 진행될 수 있으며, 강직성 척추염은 주로 젊은 남성과 여성에게 나타나지만 모든 연령대에서 발병할 수 있습니다. 특히 고관절과 허리 양쪽에 동시에 통증이 있는 경우 젊은 남성과 여성의 고관절 통증 원인으로 강직성 척추염을 고려할 수 있습니다.
고관절 통증 원인 3. 고관절 관절염
고관절 관절염은 고관절에 염증성 병변이 있는 상태로, 이는 관절염이 고관절까지 영향을 미쳤다는 뜻입니다. 고관절 관절염의 원인은 매우 다양합니다. 가장 대표적인 예로는 퇴행성 고관절 관절염이 있는데, 이는 과도한 사용과 노화로 인해 고관절이 퇴행하고 대퇴골 연골이 점차 닳아 없어지는 질환입니다.






관절염에는 골관절염과 류마티스 관절염 같은 다양한 종류가 존재합니다. 관절염에 걸리면 염증이 있는 관절 주변에서 통증이 발생해 이동성이 감소하며, 걷거나 일상적인 활동을 하는 데 어려움을 겪을 수 있습니다.
걷거나 달릴 때 고관절 부위의 통증이 더 심해질 수 있고, 다리를 완전히 펴는 것조차 어려워질 수 있습니다. 패혈증성 관절염은 심한 관절 통증과 함께 발열을 동반합니다.
고관절 통증 원인 4. 류마티스 관절염
류마티스 관절염은 골관절염에 이어 두 번째로 흔한 만성 관절 질환이며, 가장 흔한 염증성 관절 질환입니다. 모든 연령층에서 나타날 수 있지만, 주로 35세에서 50세 사이에 발생하며, 남성보다 여성에게서 발병률이 더 높습니다. 이 질환은 관절에 심한 염증을 일으켜 통증과 변형을 유발하며, 움직임에 제한을 줍니다.
고관절 통증 원인 5. 활액낭염
고관절 주변에는 활액낭이 여러 개 존재합니다. 활액낭은 관절의 마찰을 줄여주는 활액으로 가득 찬 주머니와 같습니다. 활액낭염은 고관절 주변의 활액낭에 염증이 생겨 통증을 유발하는 질환입니다.






활액낭염은 갑작스러운 움직임, 충격 또는 잘못된 자세로 인해 발생하는 경우가 많습니다. 골반이나 척추의 틀어짐, 혹은 장시간 앉아 있는 경우에도 점액낭에 과도한 압력이 가해져 염증이 생길 수 있습니다.
통증은 주로 고관절 외측에서 느껴지며, 해당 부위를 누르면 통증이 심해집니다. 앉거나 서 있는 자세와 같이 고관절을 많이 사용하는 동작들은 일시적으로 통증을 악화시킬 수 있습니다.
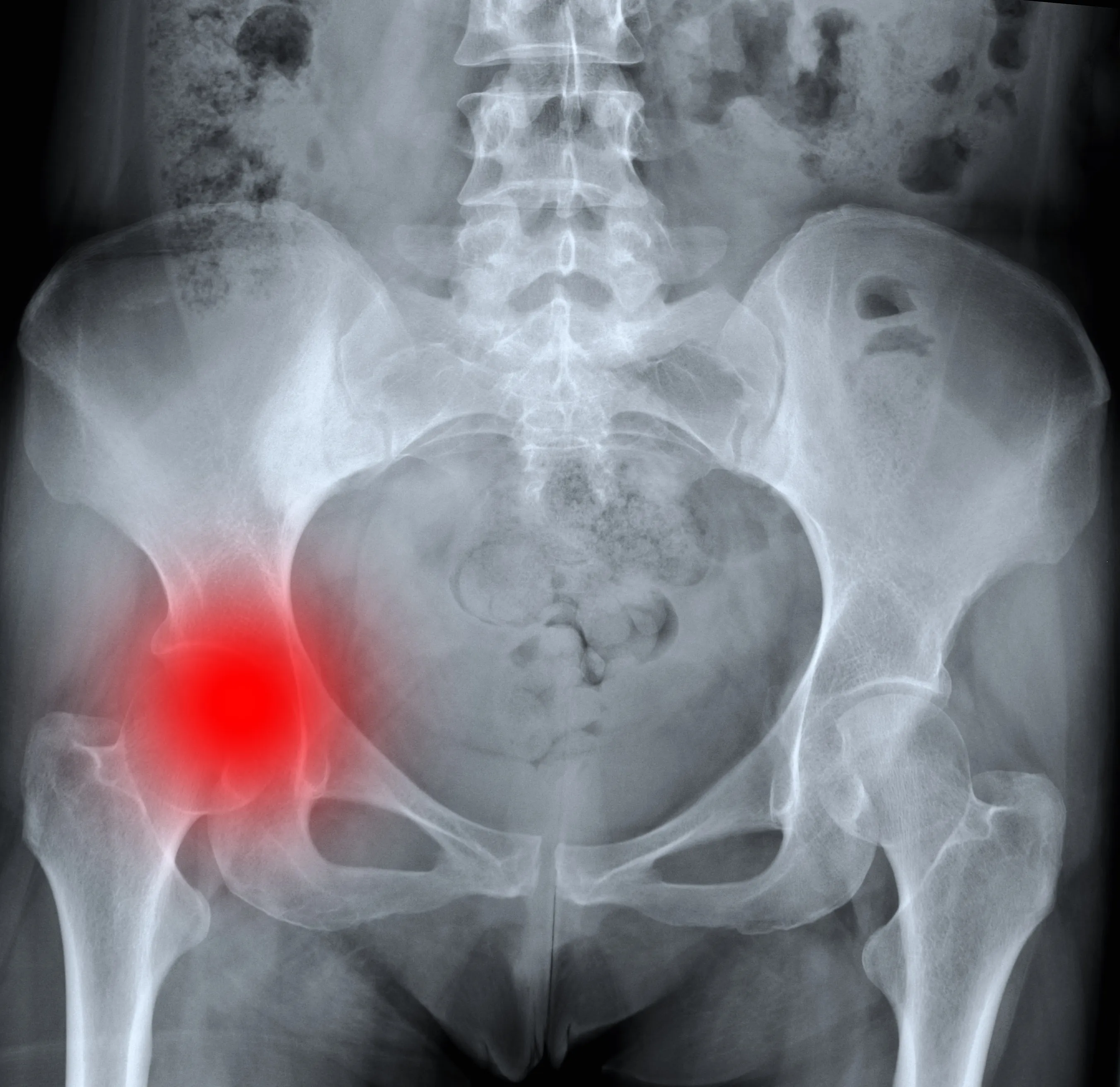
고관절 통증 원인 6. 대퇴골두의 무혈성 괴사
대퇴골두 무혈성 괴사는 고관절 부위에 혈액 공급이 원활하지 않아 뼈 조직이 괴사하는 질환입니다. 정확한 원인은 아직 규명되지 않았지만, 스테로이드 사용, 과도한 음주, 고지혈증 등이 관련 원인으로 지목되고 있으며, 약 10~20%는 뚜렷한 원인이 없이 발생한다고 알려져 있습니다.
이 질환은 주로 젊은 남성에게서 나타나며, 고관절 통증, 보행 장애, 사타구니 부위의 통증이 주요 증상입니다. 주변 신경을 따라 무릎이나 허벅지 안쪽에도 통증을 유발할 수 있으며, 특히 한쪽 허벅지에 더 심한 통증이 느껴진다면 주의가 필요합니다.
고관절 통증 원인 7. 잘못된 자세
최근에는 잘못된 자세로 인한 고관절 통증이 젊은 층에서도 빈번하게 나타납니다. 컴퓨터 앞에 오랫동안 앉아 있거나 스마트폰 사용 시간이 늘면서 젊은 연령대에서도 신체적 불편함이 증가하고 있습니다. 이러한 잘못된 자세가 젊은 세대의 고관절 통증 주요 원인으로 꼽힙니다.
고관절 통증 원인 8. 비만
과도한 체중은 하체 관절에 많은 하중을 가하며 압력을 증가시킵니다. 지방 세포가 염증을 유발하기 때문에 이러한 요인은 고관절 통증을 일으키거나 악화시킬 수 있습니다.






2. 고관절의 대표적 질환
한국인에게 흔한 고관절 질환은 '고관절 충돌 증후군', '고관절 골관절염', '대퇴골두 무혈성 괴사' 등의 질환입니다. 이외에도 질환은 아니지만 노년기에 골밀도가 감소하면서 낙상으로 인한 '고관절 골절'도 흔한 문제로 나타날 수 있습니다.
고관절 질환 1. 고관절 충돌 증후군
고관절을 이루는 비구(골반의 컵 모양 소켓)와 대퇴골두(허벅지 뼈의 공 모양 끝부분), 그리고 경부(대퇴골두와 허벅지 뼈를 연결하는 부위)의 구조가 서로 충돌하면서 통증을 일으키는 질환입니다. 관절 사이의 충돌이 오랜 기간 반복되면 충돌 부위의 관절 연골이 손상되고, 비구(소켓에 붙어 있는 연골)나 대퇴골에 붙어 있는 섬유 연골 조직이 찢어져 통증을 유발할 수 있습니다.
치료는 증상과 진단 결과에 따라 달라집니다. 초기에는 통증이 심하지 않고 특정 자세나 활동 중에만 나타날 경우 통증을 일으키는 자세나 동작을 피하고 과도한 운동을 피하면서 휴식, 물리치료, 약물치료를 통해 보존적 치료를 진행해야 합니다. 대부분의 경우 보존적 치료로 증상이 개선될 수 있습니다.
그러나 3~6개월의 보존적 치료에도 증상이 악화되어 일상생활에 지장이 생기거나, 검사 결과 내반 파열이나 연골 손상이 관찰될 경우 수술적 치료가 필요할 수 있습니다.
고관절 질환 2. 고관절 퇴행성 관절염
고관절은 크기가 크고 상체와 하체를 연결하기 때문에 노화로 인한 퇴행성 변화와 외상으로 인한 손상에 취약합니다. 연골이 닳아 없어지면 뼈끼리 서로 마찰을 일으켜 통증과 뻣뻣함이 발생할 수 있습니다. 아침에 일어나면 사타구니, 엉덩이, 허벅지에 불편함과 뻣뻣함이 느껴지는 것이 초기 증상일 수 있습니다. 통증은 활동 중에 나타나지만 휴식을 취하면 일시적으로 호전되기도 합니다. 그러나 걷거나 계단을 오르내릴 때 통증이 악화됩니다. 무릎도 영향을 받아 다리를 펴지 못하고 절뚝거릴 수 있습니다.






초기 단계에서는 고관절의 과도한 사용을 피하고 충분한 휴식을 취하는 것이 가장 기본적인 치료입니다. 정기적인 물리 치료, 체중 감량, 지팡이 사용이 권장됩니다. 약물 치료는 통증 완화에 도움이 되지만 소화기나 혈액 응고에 부작용을 일으킬 수 있으므로 3개월 미만의 기간 동안 신중하게 복용해야 합니다. 근육과 인대를 강화하는 프롤로테라피를 통해 증상 완화에 도움을 줄 수 있습니다.
하지만 휴식을 취해도 심한 통증이 계속되고 일상생활이 어려워지는 경우, 고관절 모양상 관절경을 사용하기 어려워 고관절 전치환술이 유일한 치료법이 됩니다.
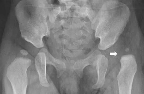
고관절 질환 3. 대퇴골두 무혈성 괴사증
소켓 모양의 고관절에 맞물리는 둥근 모양의 대퇴골두가 혈액 순환 문제로 뼈 조직이 괴사하는 질환이며, 대퇴골두 무혈성 괴사가 주요 원인입니다. 주로 30~50대에 나타나며, 남성의 발병률이 여성보다 높습니다. 약 60%가 양측성으로 나타나고, 주된 원인은 기저 질환으로 인한 코르티코스테로이드의 장기 사용과 과도한 알코올 섭취로, 전체 사례의 약 90%를 차지합니다.
괴사의 크기가 작고 통증이 일상생활에 큰 영향을 주지 않는 초기에는 약물 치료와 경과 관찰을 통해 관리하는 것이 좋습니다.






질환이 더 진행될 경우, 감압 수술은 괴사 부위의 압력을 낮추고 정상적인 혈액 공급을 회복하는 데 효과적입니다. 관절 치환술은 나이에 관계없이 괴사 부위가 넓거나 초기 단계라도 심한 통증을 겪는 노인 환자에게 특히 유용합니다.
3. 고관절 질환의 예방
관절은 척추의 체중을 지탱하고 무릎의 움직임을 부드럽게 하는 역할을 하므로 평소 바른 자세를 유지하고 꾸준한 스트레칭을 실천하는 것이 중요합니다. 오랜 습관에서 발생하는 문제를 스스로 인지하기 어려울 수 있으니 전문 치료사의 도움을 받아 자세와 생활 습관을 개선하는 것이 좋습니다.






또한 적절한 운동으로 건강한 체중을 유지하고, 바닥에 앉기보다는 의자나 테이블을 중심으로 생활하는 습관을 들이는 것이 좋습니다. 굽이 낮고 밑창이 부드러운 신발을 신는 것도 중요합니다. 골절은 주로 골다공증으로 발생하므로 균형 잡힌 식단과 적절한 치료를 통해 뼈 건강을 유지해야 합니다.